AI Retouch
Mini editor
✨ Touch up this photo without leaving the page
Use the inline editor for quick tweaks, or jump into the full Image Studio for advanced controls and a complete creative experience.
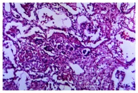
A 125X photomicrograph magnification of a hematoxy
A 125X photomicrograph magnification of a hematoxylin and eosin (H&E)–stained lung tissue specimen, revealed the presence of cytoarchitectural changes indicative of a blastomycosis fungal infection. Original image sourced from US Government department: Public Health Image Library, Centers for Disease Control and Prevention. Under US law this image is copyright free, please credit the government department whenever you can”.
Similar Photos
A modern minimalist house exterior, featuring a sl
by Prof. Lisette Reichel
A conceptual 3D rendering of a blue geometric stru
by Gerald Bashirian V
3D render of two yellow cartoon fists facing each
by Maci Jerde Jr.
Artistic still life featuring geometric shapes and
by Barton Schneider DDS
Abstract art installation featuring moss and futur
by Dr. Pascale Stiedemann DDS
A minimalist abstract blue background with a light
by Loy Altenwerth
NASA Marshall Advances 3-D Printed Rocket Engine N
by Abigayle Rodriguez
Man riding bicycle clipart, lifestyle
by Dr. Eliezer Effertz
Man riding bicycle clipart, lifestyle
by Dr. Eric Hickle MD
Man riding bicycle clipart, lifestyle
by Prof. Rick Rippin
Audrey Hegmann
101 Photos
-
4
-
0
-
0
License and Use
Free for commercial use No attribution required- Details
- Photo #60923
- Published on Nov 16, 2025
- Photo type JPG
- Resolution 1248x848
- Category 3D
- Subcategory Awareness
- File size 400.6kB